Can Half-Broken Teeth Be Fixed?

Image

By Pearl Dentistry Penn Township

It can be uncomfortable and painful to have a partially fractured tooth, which can affect your confidence when eating, speaking, and smiling. On the other hand, a damaged tooth can be effectively restored in a number of ways with the help of modern dentistry.

Emergency dentists are able to determine the extent of the damage and suggest the best course of action, regardless of the origin of the break—be it trauma, decay, or biting on an object.

Today’s blog is about exploring these treatment options and helping you understand the steps to take if you find yourself with a half-broken tooth.

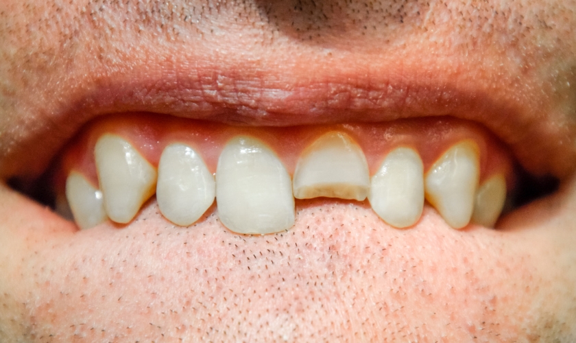
How To Detect A Broken & Chipped Tooth? 

Identifying broken and chipped teeth is essential for seeking prompt dental care from a trustworthy emergency dentist in Penn Township to prevent further damage. Here are some key signs to look for:

  • Visible Damage: The most obvious sign is a visible crack, chip, or missing piece of the tooth. This damage can range from minor chips to significant fractures.
  • Tooth Sensitivity: Increased sensitivity to hot, cold, or sweet foods and drinks may indicate a crack or chip that has exposed the inner layers of the tooth.
  • Pain or Discomfort: A broken or chipped tooth often causes sharp or throbbing pain, especially when chewing or biting down. This pain can be constant or intermittent.
  • Rough Edges: You might feel a rough or jagged edge on the tooth with your tongue. This can be a sign of a chip or break.
  • Swelling and Irritation: The gums around a broken or chipped tooth may become swollen and irritated, sometimes accompanied by bleeding.
  • Discoloration: A broken or chipped tooth may appear discolored, especially if the damage is severe enough to affect the tooth’s inner layers.

About The Severity of the Break

The treatment options for a half-broken tooth will depend on several factors, including:

  • The location of the break: Is it a front tooth or a molar?
  • The extent of the damage: How much of the tooth is broken?
  • The presence of pain or sensitivity: Is the tooth causing discomfort?

What Will Happen If a Portion of Your Tooth Breaks Off?

When a part of your tooth breaks off, it can lead to several immediate and long-term issues. Initially, you may experience sharp pain, especially if the break exposes the sensitive inner layers of the tooth, such as the dentin or pulp. This exposure can result in heightened sensitivity to temperature changes and sugary foods.

The jagged edges of a broken tooth can also irritate your tongue and cheeks, causing discomfort and potential cuts. If left untreated, the break can become a site for bacterial infection, leading to cavities or abscesses, which may require more intensive treatments like root canals.

Furthermore, a broken tooth can affect your ability to chew properly, putting extra strain on the surrounding teeth and potentially leading to further dental issues. It can also impact your speech and the overall appearance of your smile, affecting your confidence and self-esteem.

Seeking prompt dental care is crucial to address the break, alleviate pain, and prevent complications. Your emergency dentist in Penn Township will assess the damage and recommend appropriate treatments, such as bonding, crowns, or veneers, to restore the tooth’s functionality and appearance.

Treatment Options for a Half-Broken Tooth

If you have a half-broken tooth, several treatment options are available. The best course of action will be determined by your dentist after a thorough examination.

  • Dental Bonding: For minor chips or cracks, dental bonding can be used to repair the tooth. A tooth-colored resin material is applied to the affected area, shaped, and cured with a special light. Bonding is a relatively quick and affordable procedure.
  • Dental Crowns: If the break is more extensive, a dental crown may be necessary. A crown is a cap that resembles a tooth and covers the entire tooth, restoring its shape, size, and strength. Most crowns are composed of porcelain or ceramic for a natural appearance.
  • Root Canal Treatment: Sometimes, the nerve within the tooth may be exposed or damaged due to the break. The goal of a root canal is to seal the tooth and remove any infected pulp in order to further damage.
  • Tooth Extraction: Unfortunately, in severe cases where the tooth is beyond repair, extraction may be the only option. However, your dentist will explore all possibilities before resorting to this.

The Importance of Timely Treatment

Delaying treatment for a half-broken tooth can result in additional issues, including infection or tooth loss. It’s essential to see an emergency dentist in Penn Township as soon as possible. Often, early treatment can save the tooth and stop further extensive dental work.

Preventing Tooth Fractures

While accidents can happen, there are actions you may do to lower your chance of teeth fractures:

  • Wear a mouthguard: If you engage in athletics or any curriculum activities with a risk of facial impact, wearing a mouthguard is crucial.
  • Avoid biting hard objects: Chewing on ice, hard candy, or pen caps can put excessive stress on your teeth.
  • Maintain good oral hygiene: Regular brushing, flossing, and dental check-ups help prevent tooth decay and weakening of the tooth structure.

Overall, a half-broken tooth can be a frightening experience, but it’s important to remember that there are effective treatment options available. By obtaining an emergency dentist in Penn Township as soon as possible, you can increase the likelihood of preserving the tooth and getting your smile. Remember, prevention is key, so take steps to protect your teeth from future damage.

Related Articles